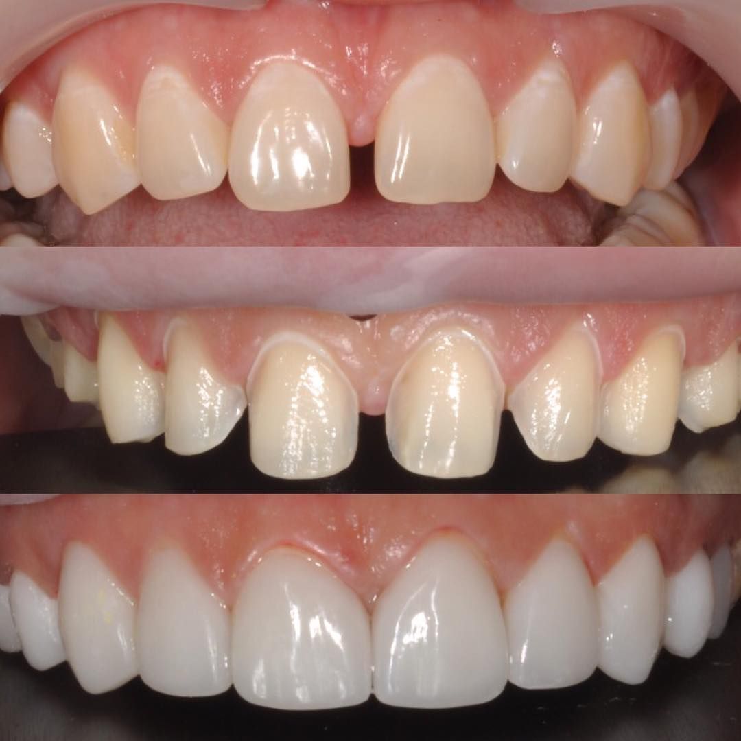
ونیر کامپوزیتی روش درمانی می باشد که در آن از مواد پرکننده کامپوزیت برای ایجاد تغییر در شکل دندان ها ، پر کردن شکاف بین دندان ها و یا درمان پوسیدگی و شکستگی روی دندان ها استفاده می شود. کامپوزیت دندان یکی از روش های زیبایی در دندانپزشکی می باشد که توسط افراد دارای مشکلات دندان و زیبایی لبخند مورد استفاده قرار می گیرد.
این روش که به عنوان کامپوزیت ونیر یا پرکردن زیبایی نیز شناخته می باشد ، نوعی ترمیم می باشد که به عنوان جایگزینی برای روکش های سرامیکی استفاده می شود. دندانپزشک با کمک مواد پر کننده کامپوزیتی ظاهر زیبا و دلخواه را به دندان های شما می بخشد.
ونیر کامپوزیتی در بین روشهای مورد استفاده برای زیبایی دندان یکی از پر استفاده ترین روش های دندانپزشکی می باشد. کامپوزیت اغلب در دندانپزشکی زیبایی ترجیح داده می شود زیرا می تواند نقص دندان را بدون هیچ گونه تغییری روی دندان ها برطرف کند. کاربرد ونیر کامپوزیتی را می توان در نقایص دندانی که نمی توان از روکش لمینت و تاج استفاده کرد ، ترجیح داد.
مراقبت های بعد از کامپوزیت ونیر
کامپوزیت ونیر یکی از پرطرفدارترین درمانها در بین مراجعه کنندگان میباشد که از دوام و پایداری بالایی برخوردار است، اما باید متذکر شد که ماندگاری آنها علاوه بر استفاده از مواد مرغوب و انجام کار توسط متخصص زیبایی به مراقبتهای بعد از کامپوزیت ونیر هم بستگی دارد، ما در اینجا مراقبتهای پس از انجام کامپوزیت ونیر را در 8 بند به اختصار برای تان توضیح میدهیم، همچنین میتوانید از فایل صوتی متخصص ترمیم و زیبایی که در این باره برای تان تهیه شده است استفاده کنید.

1- مواد خوراکی و باید ها و نباید ها
بعد از انجام درمان ونیر کامپوزیت از مصرف مواد خوراکی رنگی مثل نوشابه، پای، قهوه، سس و . . . به مدت 48 ساعت خودداری کنید.
ولی موضوع به همین 48 ساعت ختم نمیشه، شما باید پس از انجام کامپوزیت ونیر یک رژیم غذایی مناسب را رعایت کنید که توضیح کلی درباره این رژیم خواهیم داد. چند قانون کلی هست که باید برای افزایش طول عمر کامپوزیت رعایت بشه :
در کل بهتر است از مصرف مواد خوراکی رنگ دار اجتناب کنید و یا در صورتیکه از این نوع مواد غذایی استفاده کردید بلافاصله مسواک بزنید و از دهانشویه استفاده کنید تا از چسبیدن پلاک میکروبی به دندان جلوگیری شود.
از مصرف غذاهای چسبناکی و شیرین مانند پاستا، آب نبات، بیسکوییت تردک و نوشیدنی های شیرینی مثل نوشابه گاز دار و آبمیوه پرهیز کنید. مواد غذایی اسیدی مانند بعضی میوهها (لیمو، پرتقال و . . ) نباید برای زمان طولانی بر روی دندانها بمانند. درصورتیکه به مسواک هم دسترسی ندارید با چرخاندن آب داخل دهان به مدت 20 ثانیه و تخلیه آن میتوان از باقیماندن مواد اسیدی روی دندان جلوگیری کرد.
2- اهمیت مسواک و نخ دندان
استفاده مداوم از مسواک و نخ دندان را فراموش نکنید، برای خرید خمیردندان دقت کنید خمیر دندانی را انتخاب کنید که فاقد ترکیبات هیدروژن پراکسید، جوش شیرین یا سدیم کربنات باشد. هیدروژن پراکسید باعث از دست رفتن درخشندگی کامپوزیت ونیر میشود، بهتر است از خمیر دندانهای ژل های استفاده کنید.
در خصوص مسواک هم دقت داشته باشید که حتماً از مسواکی با برس نرم استفاده کنید تا بافت لثه اطراف تحلیل نرود.
3- دندان قروچه
اگر شما جزو آن دسته از افراد هستید که بطور ناخود آگاه در خواب دندان قروچه میکنند، حتماً این موضوع را با دندانپزشک خود مطرح کنید تا او راهی برای حل این مشکل پیدا کند. چرا که دندان قرچه باعث سایش و لب پر شدن کامپوزیت میشود، در اغلب مواقع برای حل این مشکل نایت گارد تجویز میشود که یک محافظ بیرنگ است و قبل از خواب در دهان و بر روی دندانها گذاشته میشود تا از سایش کامپوزیتها و دندان جلوگیری شود.
4- فشار مضاعف بر کامپوزیت
یک مورد مهم، از دندان خود بجای ابزار استفاده نکنید. پس از انجام کامپوزیت ونیر از گاز زدن چیزها و غذاهای سفت مانند یخ، هویج، تخمه و آجیل و . . . خودداری کنید.
کامپوزیتها ظریف هستند و بعضی از عادات اشتباه ما نیز ممکن است آنرا شکننده کند مثل جویدن ناخن و جویدن انتهای خودکار و مداد و . . . پس در این مورد هم دقت لازم رو داشته باشید .
5- دخانیات
در بین کلیه عوامل تغییر رنگ کامپوزیت ونیرها، استعمال دخانیات یکی از مهمترین آنهاست. استعمال دخانیات یا جویدن محصولات حاوی تنباکو باعث تغییر رنگ کامپوزیت ونیرها به قهوهای یا زرد میشود. متاسفانه پس بهتر است مراقب باشید تا این اتفاق برای کامپوزیتهای شما نیوفته.
6- مراجعه و پالیش
ممکن است پس از انجام کامپوزیت ونیر دندانهایتان نسبت به سرما و گرما حساس شده باشد، این اتفاق طبیعی است ولی معمولاً پس از چند هفته بطور کلی رفع میشود ولی اگر اینطور نشد و حساسیت ماندگار بود حتماً باید به دندانپزشک مراجعه کنید، حتی اگر دندانهایتان حساس نشد پس از انجام کامپوزیت سالی یکبار به دندانپزشک خود برای معاینه و پالیش احتمالی مراجعه کنید.
7- محافظت از دندان
درصورتیکه شما ورزشکارید و ورزشهایی مانند تکوندو، بوکس، کشتی و ورزش هایی از این دست انجام می دهید میبایست موقع ورزش کردن از حفاظ دندان استفاده کنید تا به کامپوزیت ونیرها و دیگر دندانهای شما آسيبی وارد نشود.
8- تغییر رنگ کامپوزیت
کامپوزیت ونیر ممکن است بخاطر ویژگیهای ذاتی مواد کامپوزیتی در هفته اول درصد خیلی کمی تغییر رنگ داشته باشد ولی جای نگرانی نیست چراکه پس از آن تثبیت خواهد شد و با رعایت نکات فوق تا سالها همانطور خواهد بود و فقط هر سال میبایست توسط دندانپزشک بررسی و در صورت نیاز پالیش شود.
مشاوره آنلاینتو همین الان رزرو کن
برای دریافت مشاوره با ما در ارتباط باشید.
توضيحات متخصص زيبايي براي مراقبت هاي پس از درمان بصورت صوتي
آیا کامپوزیت دندان قابل برداشتن است؟
یکی از متداولترین سوالاتی که از متخصصان کلینیک دندناپزشکی آرمانی پرسیده می شود، این است که آیا میتوان کامپوزیت دندان را برداشت یا خیر. تیم متخصص ما همیشه خوشحال می شود که به هر سوالی که ممکن است در زمینه سلامت دهان و دندان و دندانپزشکی داشته باشید پاسخ دهد و به شما در آشنایی بیشتر با دندانپزشکی زیبایی کمک کند.
بله، کامپوزیت دندان قابل برداشتن است و این فرآیند برگشت پذیر است!
کامپوزیت دندان یک روش کاربردی در دندانپزشکی زیبایی است. در کامپوزیت دندان نیازی به برداشتن مینای دندان شما نیست و دندان شما به سادگی با اسید ملایم زبر می شود. سپس کامپوزیت ساخته شده از رزین و سرامیک مستقیماً روی دندان شما اعمال می شود. دندانپزشک شما این ماده را به نحوی شکل می دهد که دقیقاً مانند دندان های طبیعی شما به نظر برسد.
به دلیل این که نیازی به برداشتن هیچ یک از ساختار طبیعی دندان شما نیست، مواد کامپوزیت را می توان بدون آسیب به مینای دندان برداشت. این برخلاف سایر درمان های زیبایی مانند ونیر است. روکش ها نیاز به برداشتن یک لایه نازک از مینای دندان دارند، بنابراین روند برگشت پذیر نیست.
کامپوزیت دندان چگونه برداشته می شود؟
کامپوزیت دندان معمولاً با استفاده از نوع خاصی از کاغذ سنباده برداشته می شود که روی یک دیسک کوچک با چرخش سریع قرار می گیرد. دندانپزشک شما از این ابزار برای برداشتن تمام مواد کامپوزیتی از هر یک از دندان های شما استفاده می کند.
دیسک های کاغذ سنباده:
برخی از دندانپزشکان از دیسک های کاغذ سنباده استفاده می کنند که سطح صاف و بسیار صیقلی دارند. این دیسکها انعطافپذیر هستند و خم میشوند تا شکل دندان را تغییر ندهند.
مته های کاربید با سرعت بالا:
هنگامی که مته های کاربید با فشار کم استفاده شود، مته ها سریعتر از دیسک های کاغذ سنباده هستند و کامپوزیت را بدون آسیب رساندن به مینای دندان برمی دارند. اما آنها اغلب رگه هایی از ونیر را روی دندان باقی می گذارند، بنابراین دندانپزشکان با یک دیسک کاغذی برای از بین بردن باقی مانده مواد کار را انجام می دهند.
ساینده هوا با فشار قوی:
اگرچه اکثر مطب های دندانپزشکی تجهیزات ساینده هوا ندارند، کامپوزیت را می توان با جریان هوای پرقدرت برداشت.
آیا بعد از استفاده از ونیر کامپوزیتی ، تغییری در رنگ دندان ها ایجاد می شود؟
پس از استفاده از ونیر کامپوزیتی ، تغییر رنگ در دندان ها امکان پذیر می باشد. اگر بعد از مدتی تغییر رنگ در مواد کامپوزیتی ایجاد شود، می توان با انجام پرداخت براق کننده، تغییر رنگ روی دندان ها را از بین برد.
افرادی که ونیر کامپوزیتی را انجام می دهد باید هر 6 ماه از نظر سلامت دندان معاینه شوند و در این معاینه ها بررسی می شود که آیا مواد کامپوزیتی تغییری در رنگ داشته است یا خیر. اگر تغییر رنگ روی کامپوزیت ها اتفاق افتاده باشد دندانپزشک طی یک پرداخت ساده و کوتاه مدت آنها را به شکل و رنگ روز اول باز می گرداند.
آیا استفاده از روش درمانی ونیر کامپوزیتی ، دندان درد ایجاد می کند؟
روش درمانی ونیر کامپوزیتی کاربردی نیست که باعث دندان درد شود. مسئله دیگری که باید به عنوان دندان درد در کاربرد کامپوزیت به آن پرداخته شود، استفاده از کامپوزیت بر روی دندان های آسیب دیده می باشد. در این حالت استفاده از این روش درمان می تواند در آینده باعث دندان درد شود. اما تیم مجرب و متخصص ما این احتمال را از بین می برد. به عبارت دیگر ، بیمارانی که تقاضای استفاده از ونیر کامپوزیتی را در کلینیک دندانپزشکی آرمانی دارند ، ابتدا باید دندان های پوسیده آنها درمان شود. سایر روش های درمانی همراه با کامپوزیت انجام می شود تا از بروز دندان درد جلوگیری کرد.
طول عمر کامپوزیت ونیر چقدر می باشد؟
طول عمر برنامه دندانپزشکی ونیر کامپوزیتی یکی دیگر از موضوعات مهمی است که علاقه مندان به این روش درمانی را متعجب می کند. همانند سایر برنامه های دندانپزشکی ، مهمترین عامل تاثیر گذار بر روی طول عمر استفاده از کامپوزیت ونیر ، مراقبت از دهان و دندان بیماران می باشد. یکی دیگر از موضوعات مهم و تأثیرگذار بر طول عمر کامپوزیت دندانپزشکی ، تجربه و تخصص پزشک و کیفیت مواد مورد استفاده در برنامه می باشد. در صورت انجام این روش در یک کلینیک دندانپزشکی با تجربه و مراقب منظم از دهان و دندان، از کامپوزیت ونیر می توان به مدت 5 تا 10 سال استفاده کرد.
مشاوره رایگان کامپوزیت ونیر
برای دریافت مشاوره در خصوص کامپوزیت ونیر با ما در ارتباط باشید.
چه کسانی می توانند از کامپوزیت ونیر استفاده کنند؟
شرایطی که در آن برنامه ونیر کامپوزیتی اعمال می شود موضوع مهم دیگری است که توسط افراد متخصص مورد بررسی قرار می گیرد. این واقعیت که برنامه کامپوزیت از سایر روش های زیبایی دندانپزشکی مقرون به صرفه تر می باشد، توجه در مورد این روش را افزایش می دهد. اطلاعات در مورد شرایط بیمارانی که می توانند از کامپوزیت ونیر استفاده کنند به شرح زیر می باشد:
- فرآیند ونیر کامپوزیتی می تواند برای افرادی اعمال شود که دندان آنها رنگ و شکل دلخواه را ندارد. بعد از انجام این روش درمانی، دندان ها به رنگ و شکل دلخواه تغییر می کنند.
- کامپوزیت دندان برای افرادی که دندانهایشان کوتاه تر از حد معمول می باشد و یا دندان های شکسته دارند قابل استفاده می باشد.
- ونیر کامپوزیتی می تواند برای افرادی که در زیبایی دندان های خود نقص دارند اعمال شود.
- کامپوزیت دندان می تواند برای درمان فاصله بین دندان ها استفاده شود.(برای درمان دیاستما)
- ونیر کامپوزیتی پوسیدگی را در افرادی که دندان هایشان پوسیدگی شدید دارد، ترمیم می کند.
- دندان افرادی که طول نامتقارن دارند با استفاده از کامپوزیت می توانند به شکل ایده آل دست یابد.
چرا ونیر کامپوزیت ترجیح داده می شود؟
دلایلی که برنامه ونیر کامپوزیتی ترجیح داده می شود، دلایلی می باشد که مزایای برنامه را در اولویت قرار می دهد. علاوه بر مزایای شخصی استفاده از کامپوزیت دندان ، مزایای کلی برنامه را می توان به شرح زیر ذکر کرد:
- استفاده از کامپوزیت دندان در مقایسه با سایر کاربردهای زیبایی دندان یک کاربرد بسیار اقتصادی و به صرفه می باشد.
- استفاده از کامپوزیت دندان در مدت زمان کوتاهی قابل انجام می باشد.
- تصویری که پس از استفاده از کامپوزیت دندان به دست می آید ، ظاهری کاملاً طبیعی می باشد و با دندان های دیگر تفاوت چندانی ندارد.
- کاربرد کامپوزیت روش درمانی کاملا بدون درد می باشد ولی در صورت درخواست بیمار از بی حسی موضعی در کلینیک دندانپزشکی آرمانی استفاده می شود.
- استفاده از کامپوزیت دندان برای از بین بردن لکه ها قابل استفاده می باشد و همچنین از لکه شدن و تغییر رنگ دندان ها نیز جلوگیری می کند.
- در کامپوزیت دندان ، هیچ فرآیندی مانند تراش روی دندان ها انجام نمی شود.
- از آنجا که کاربرد کامپوزیت کمترین آسیب را به دندان می زند ، می توان این روش را بیش از یک بار انجام داد.
- روند کامپوزیت دندان باعث سایش دندان ها نمی شود.
- استفاده از کامپوزیت می تواند لبخند کاملی را به افرادی که دندان شکسته دارد هدیه دهد.
- هر چقدر هم که مراقبت انجام شود، دندان ها به مرور زمان زرد می شوند. کاربرد کامپوزیت سفید بودن دندان ها را تضمین می کند.
- یکی دیگر از مزایای استفاده از کامپوزیت دندان این است که از دندان در برابر لک شدن محافظت می کند.
سوالات متداول
نسبت به مهارت دندانپزشک شما و آموزش دندانپزشکی زیبایی او ، ممکن است این ابزارها را در مطب یا کلینیک دندانپزشکی موجود باشد. اما بدون شک، شما می خواهید روند درمان طراحی لبخند خود را کامل کنید و از آن لذت ببرید.
پیشنهاد می کنیم نظرات دیگر دندانپزشک و متخصص زیبایی را نیز بپرسید. با انجام یک مشاوره ساده و سریع با متخصصان کلینیک دندانپزشکی مینوسا می توانید از انجام دوباره کامپوزیت دندان جلوگیری کنید.
در طول این مشاوره، می توانید اهداف خود را با دندانپزشک زیبایی در میان بگذارید و به توضیح در مورد گزینه های درمانی شما برای زیبایی دندان گوش دهید. یک دندانپزشک زیبایی می تواند به طور کامل کامپوزیت دندان را روی دندان های شما اعمال کند و لبخندی را که دوست دارید به شما هدیه دهد.





