کاشت دندان یکی از مهمترین و پرکاربردترین روشهای جایگزین برای درمان نبود یا از دست رفتن دندان است.
آنچه در این مقاله می خوانید
فواید کاشت دندان
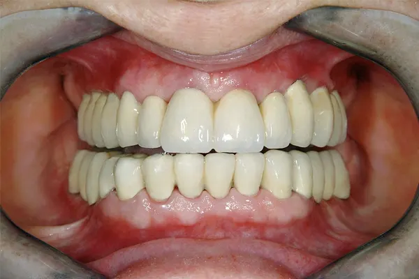
ایمپلنت یا کاشت دندان بهترین روش جایگزین دندان از دست رفته می باشد. کاشت دندان با استفاده از پایه (فیکسچر) ، رابط (اباتمنت) و روکش (پروتز) انجام می شود. پایه ایمپلنت، ریشه مصنوعی دندان است که در استخوان فک قرار میگیرد. ایمپلنت از مواد مناسب برای بازگرداندن عملکرد طبیعی دندانهای ازدسترفته ساخته میشود. به لطف کاشت، دندانهای ازدست رفته بازیابی میشوند و دندانها عملکرد طبیعی خود را بازیابی میکنند و از نظر زیبایی نیز ظاهری طبیعی دارند.
کاشت دندان یک روش درمانی ایمن در مقایسه با پروتزهای بریج و متحرک است. در درمان روکش و بریج، دندانهای کناری به دلیل حمایت از دندانهای دیگر آسیب میبینند. اما در ایمپلنت، ریشه دندان مصنوعی مستقیماً به استخوان فک متصل میشود، بنابراین درمان بدون آسیب رساندن به دندانهای دیگر انجام میشود. درمان ایمپلنت یک روش درمانی مؤثر، قوی و قابلاعتماد است. پروتزهای مبتنی بر ایمپلنت طبیعی به نظر میرسند زیرا بسیارمشابه دندانهای واقعی هستند. طول عمر پروتزهای مبتنی بر ایمپلنت در مقایسه با پروتزهای متحرک بیشتر است.
درمان ایمپلنت
- قبل از ایمپلنت دندان، دندانپزشک سلامت عمومی فرد و ساختار فک برای درمان ایمپلنت را بررسی میکند. برای مدلسازی دهان از تصویر اشعه ایکس استفاده میشود.
- -در صورت از بین رفتن یک دندان،میتوان کاشت را بدون آسیب رساندن به دندانهای مجاور دیگر انجام داد.
- -درمواردی که هیچ دندانی در فک وجود ندارد، درمان ایمپلنت کاربرد بسیار موفقی دارد. حداقل شش یا هفت ایمپلنت در فک پایین قرار داده میشود.
- – در پوکی استخوان، حجم استخوان فک کاهش مییابد. وقتی پوکی استخوان پیشرفت کند، بیمار دیگرنمیتواند از پروتزهای متحرک خود استفاده کند. در چنین مواردی، حداقل دو ایمپلنت در فک قرار میگیرد ودندانهای مصنوعی با اتصال آنها به ایمپلنت ثابت میشوند. بیمار بدون ازدست دادن عملکرد جویدن و گفتار به زندگی خود ادامه میدهد.
شرایطی که میتواند مانع از درمان ایمپلنت شود
به غیر از فواید کاشت دندان در این مقاله باید به بررسی مضررات بپردازیم. در برخی موارد، ممکن است استفاده از درمان ایمپلنت مناسب نباشد و حتی باعث آسیب به سلامت بیمار شود.
فواید کاشت دندان برای بیماران
- – درمان ایمپلنت یک روش قابل اعتماد نسبت به روشهای دیگر است.ایمپلنت به تنهایی و بدون هیچ گونه پشتیبانی از دندانهای دیگر قابل استفاده میباشد و به دندانهای دیگر آسیب نمیرساند.
- – ایمپلنت ظاهری طبیعی دارد وهیچ گونه اختلالی در ساختار دهان و دندان فرد ایجاد نمیکند.
- -داشتن دندانهای کامل و زیبا از نظر زیبایی به افراد این امکان را میدهد تا اعتماد به نفس خود را افزایش دهند.
- – طول عمر دندانهای ساخته شده با ایمپلنت در مقایسه با سایرروشهای درمانی بسیار طولانی است.
- – پس از درمان ، دندانها به راحتی تمیزمیشوند. از آنجا که ایمپلنت با دندانهای دیگر تفاوتی ندارد، میتوان از روشهای معمول تمیزکردن دندان برای ایمپلنت استفاده کرد.
- – این روش به شما این امکان را میدهد که زندگی روزمره خود را بدون محدود کردن خود در حین انجام کارهای روزمره مانند صحبتکردن و خندیدن، با اعتماد به نفس سپری کنید.
بیمارانی که سیگار زیادمصرف میکنند:
سیگارکشیدن به طور مستقیم بر روی پلاک باکتریایی تشکیل شده در بافت دهان تأثیرمیگذارد و خطر عفونت را افزایش میدهد. عفونت باعث میشود زخمی که در طول درمان ایجادمیشود، دیرتر بهبود یابد. در بیمارانی که سیگاراستعمال میکنند، اگر پزشک تأیید کند، درمان ایمپلنت دندان برای بیمار انجام میشود. با این حال، بیمار باید قبل و بعد از درمان سیگار را تحت کنترل پزشک کاهش دهد. این دوره به طور کلی 15 روز قبل از درمان و 1 ماه پس از روند درمان را شامل میشود.
دیابت:
دیابت کنترل نشده از جمله بیماریهایی میباشد که در روند درمان ایمپلنت خطر ایجاد میکند. ایمپلنت برای بیماران دیابتی باعث میشود آسیب بافتی دیرتر بهبود یابد و خطر عفونت افزایش یابد. پس از ایمپلنت دندان، بیماران دیابتی باید به طور دورهای به دندانپزشکی مراجعه کنند.
بیماران مبتلا به فشارخون بالا:
اندازه گیری فشار خون قبل از کاشت دندان در بیماران مبتلا به فشار خون بسیار مهم است. در مورد بیمارانی که دندانپزشک به فشار خون مشکوک است، باید با متخصص عروق مشورت کند و اطلاعات دقیق در مورد وضعیت بیمار را دریافت کند. فشار خون ممکن است در طول درمان مشکلاتی مانند نارسایی قلبی ایجاد کند.
افرادی که بیماری قلبی دارند:
بیماران مبتلا به بیماری قلبی در گروهی قرار دارند که به سرعت توسط دندانپزشک قابل درمان نیستند. دندانپزشک باید با پزشکان متخصص قلب و عروق یا جراح قلب و عروق مشورت کند و درمان را با تأیید آنها انجام دهد.
اختلالات انعقاد خون:
درمان ایمپلنت برای بیماران مبتلا به اختلال در لخته شدن خون میتواند بسیار خطرناک باشد، بنابراین برای این بیماران از این روش درمانی استفاده نمیشود. لخته شدن خون نوعی اختلال مربوط به جریان خون سریع یا آهسته در بدن است.
بیمارانی که تحت شیمی درمانی و رادیوتراپی هستند:
از آنجا که مقاومت بدن بیماران تحت شیمی درمانی و رادیوتراپی ضعیف است، خطر عفونت در حین یا پس از درمان بیشتر از سایر بیماران است. به همین دلیل، درمان ایمپلنت به طور کلی برای بیماران این گروه توصیه نمیشود. اما پس از انجام شیمی درمانی و پرتودرمانی، سیستم ایمنی بیمار در مدت 3-6 ماه به حالت قبلی خود برمیگردد و اگر پزشک تأیید کند که وضعیت عمومی بیمار مناسب است، میتوان از ایمپلنت دندان استفاده کرد.
استخوان فک خیلی نازک است:
ساختار استخوان فک در درمان ایمپلنت بسیار مهم است. ایمپلنتهایی که در روند درمان استفاده میشوند دارای اندازه و شکل خاصی هستند. ساختار فک افراد ممکن است گاهی اوقات با ایمپلنتها سازگار نباشد. امروزه با استفاده از روشهای پیشرفته جراحی و پیوند استخوان میتوان ساختار فک فرد را برای ایمپلنت آماده کرد.
[/vc_column_text][/vc_column_inner][/vc_row_inner][/vc_column][/vc_row]متخصصان مرکز دندانپزشکی آرمانی دارای تاییدیه از انجمن دندانپزشکی آمریکا ، دندانپزشکی آرمانی متخصص کاشت دندان
