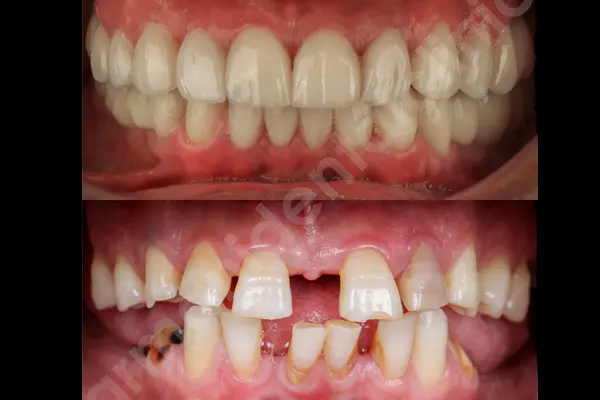
ایمپلنت دندان به عنوان یک راه حل مدرن و موثر در جایگزینی دندان‌های از بین رفته شناخته می‌شود. این روش با تأمین یک لبخند زیبا و سالم، افراد را بهبود می‌بخشد. در این مقاله، به مزایای ایمپلنت دندان پرداخته خواهد شد.

مزیت ایمپلنت دندان

از جمله مزایای ایمپلنت دندان می توان به موارد زیر اشاره کرد:

1. طبیعی و ثابت:

ایمپلنت دندان به طور طبیعی در فک جای گرفته و به نظر می‌آید و احساس می‌شود. این امر باعث می‌شود لبخند شما طبیعی و زیبا باشد و دندان‌های ایمپلنت ثابت در مکان خود قرار گیرند.

2. تحرک کمتر:

ایمپلنت دندان تحرک کمتری نسبت به روش‌های دیگر جایگزینی دندان دارد. این ویژگی باعث استحکام بیشتری در حین مصرف و صحت دراز مدت می‌شود.

3. استقلال در مصرف:

دندان‌های ایمپلنت به فرد امکان می‌دهند تا به استقلال در مصرف غذا، خنده و گفتگو دست پیدا کنند. این امر بازدهی زندگی روزمره را بهبود می‌بخشد.

4. ماندگاری بیشتر:

ایمپلنت با مراقبت مناسب، می‌تواند برای مدت طولانی‌تری نسبت به دیگر روش‌های جایگزینی دندان ماندگاری داشته باشد.

5. بهبود طرح لبخند:

ایمپلنت دندان به افراد امکان می‌دهد تا اصلاح طرح لبخند صورت گیرد. دندان‌های ایمپلنت با اندازه و شکل طبیعی دندان‌ها، لبخند شما را زیباتر و جذاب‌تر می‌کنند.

 

فواید ایمپلنت دندان به نسبت سایر روش ها

مزایای ایمپلنت نسبت به سایر روش ها بسیار زیاد است. در ادامه مقایسه را ببینید:

مزایای ایمپلنت دندان نسبت به دندان مصنوعی

1. عدم لقی و قدرت بالا در جویدن:

ایمپلنت دندان به دلیل اتصال محکم به استخوان، برخلاف دندان مصنوعی، هیچگاه لقی نمی‌شود و قدرت بالایی در جویدن فراهم می‌آورد.

2. عدم تحلیل استخوان:

یکی از مزایای ایمپلنت دندان، عدم تحلیل استخوان است. استخوان فک با اتصال ایمپلنت، قوی و سلامتی خود را حفظ می‌کند.

3. طول عمر بیشتر:

ایمپلنت‌های دندان با داشتن استحکام بالا و مواد مقاوم، طول عمر بیشتری نسبت به دندان‌های مصنوعی دارند.

4. زیبایی طبیعی:

طراحی زیبای ایمپلنت دندان به شکل و اندازه دندان‌های طبیعی، باعث ظاهر طبیعی و جلوه زیبا می‌شود.

مزایای ایمپلنت دندان نسبت به بریج:

 

1. عدم آسیب به دندان مجاور:

بریج‌ها برای نصب نیاز به ساییدن و آسیب دادن به دندان‌های مجاور دارند. ایمپلنت دندان با عدم نیاز به این کار، دندان‌های اطراف را حفظ می‌کند.

2. طول عمر بیشتر:

به دلیل عدم وابستگی به دندان‌های مجاور، ایمپلنت‌ها طول عمر بیشتری دارند.

3. مراقبت ساده‌تر:

مراقبت از ایمپلنت دندان مانند مراقبت از دندان‌های طبیعی است و نیازی به مراقبت ویژه‌ای ندارد.

 

آیا ایمپلنت دندان برای همه افراد مناسب است یا محدودیت‌هایی دارد؟

ایمپلنت دندان برای اکثر افراد مناسب است اما برخی محدودیت‌ها و الزامات خاصی نیز دارد:

  1. سلامت عمومی: افراد مبتلا به بیماری‌های خاص مانند بیماری‌های قلبی، دیابت ناکنترل‌شده یا سرطان ممکن است برای ایمپلنت مناسب نباشند زیرا ممکن است بهبود و بازیابی کندتر رخ دهد.
  2. کیفیت استخوان فک: ایمپلنت نیاز به استخوان فک سالم و محکم دارد. افراد مبتلا به استئوپروز یا ضایعات استخوانی ممکن است نیاز به پیوند استخوان قبل از ایمپلنت داشته باشند.
  3. سن: کودکان و نوجوانان در حال رشد معمولاً مناسب ایمپلنت نیستند زیرا استخوان فک آنها هنوز در حال تغییر است.
  4. عادات مضر دهانی: افرادی که به عادات مضری مانند گاز گرفتن ناخن یا فشردن دندان‌ها دچارند ممکن است برای ایمپلنت مناسب نباشند.
  5. سیگار: استعمال دخانیات به طور قابل توجهی شانس موفقیت ایمپلنت را کاهش می‌دهد.

در مجموع، با ارزیابی دقیق توسط دندانپزشک و درمان مناسب مشکلات زمینه‌ای، اکثر افراد می‌توانند از مزایای ایمپلنت دندان بهره‌مند شوند. پزشک باید با در نظر گرفتن وضعیت فردی هر بیمار، مناسب بودن را تعیین کند.


دریافت نوبت آنلاین

"*" indicates required fields

YYYY slash MM slash DD

 

کلینیک تخصصی دندانپزشکی آرمانی

یکی از مجهزترین و بهترین کلینیک های دندانپزشکی شهریار می باشد که در راستای خدمت رسانی به هموطنان عزیز مطابق با استانداردهای روز دنیا از سال ۱۳۹۴ با همکاری دندانپزشکان مجرب ، متخصصان دندانپزشکی و اساتید دانشگاه شروع به فعالیت نموده است. کلینیک دندان پزشکی آرمانی با بکارگیری بهترین و مرغوبترین مواد دندانپزشکی سعی در ارتقاء کیفیت خدمات در جهت حفظ و بهبود سلامتی مراجعین محترم دارد . بر این اساس با افتخار و اطمینان کامل کلیه خدمات دندانپزشکی در شهریار خود را بصورت تضمینی و با گارانتی واقعی ارائه می کند .

دیدگاهتان را بنویسید

نشانی ایمیل شما منتشر نخواهد شد. بخش‌های موردنیاز علامت‌گذاری شده‌اند *

Fill out this field
Fill out this field
لطفاً یک نشانی ایمیل معتبر بنویسید.
You need to agree with the terms to proceed

خروج از نسخه موبایل